Gelenkersatz Neusiedl & EndoprothetikNeue Mobilität für Hüfte & Knie

Infobox
Dauer der Operation
Anzahl der Eingriffe
Stationär/ambulant
Nachbehandlung
Erholungsphase
Ausfallszeit
Der Gelenkersatz stellt in der orthopädischen Chirurgie eine bewährte Option dar, wenn konservative Behandlungsmethoden wie Physiotherapie, medikamentöse Schmerztherapie oder Infiltrationen keine ausreichende Linderung mehr erzielen. Er kommt bei fortgeschrittener Arthrose oder ausgeprägten Gelenkschäden zum Einsatz, um die Beweglichkeit wiederherzustellen und Schmerzen nachhaltig zu reduzieren. In der Endoprothetik werden künstliche Gelenke eingesetzt, um die Funktion des erkrankten oder zerstörten Gelenks langfristig zu ersetzen.
Der Eingriff erfolgt nach präziser Diagnostik, individueller Operationsplanung und unter Anwendung muskelschonender Verfahren. Die Behandlung wird von einer strukturierten, engmaschigen Nachbetreuung begleitet, um eine optimale Rehabilitation und eine bestmögliche Funktionswiederherstellung zu gewährleisten.
Ablauf der Behandlung
Symptome & Ursachen
Vor jeder Operation erfolgt eine umfassende klinische und bildgebende Diagnostik, um den Bedarf für einen Gelenkersatz exakt zu bestimmen. Darauf folgt die präzise Abstimmung des operativen Vorgehens im gemeinsamen Gespräch mit der Patientin bzw. dem Patienten, welche folgende Aspekte umfasst:
- Auswahl des geeigneten Implantats (z. B. Voll- oder Teilprothese)
- Operationsplanung anhand moderner Bildgebung und Funktionsanalyse
- Gewebeschonende Operationstechnik unter Verwendung hochwertiger Implantate mit nachweislich langer Haltbarkeit
- Frühfunktionelle Mobilisation unmittelbar postoperativ, gefolgt von einem strukturierten physiotherapeutischen Rehabilitationsprogramm
Der Eingriff erfolgt in enger Zusammenarbeit mit spezialisierten Kliniken und ist bei Hüftprothesen sowie Knieprothesen in der Regel stationär.
Vorgehen in der Endoprothetik
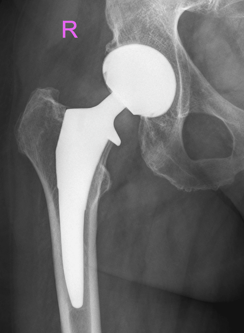
Die Endoprothetik umfasst ein präzise abgestimmtes operatives Vorgehen, bei dem geschädigte Gelenkflächen entfernt und durch hochwertige Implantate ersetzt werden. Dabei werden individuell angepasste Prothesenmodelle verwendet, die sowohl anatomische Gegebenheiten als auch die funktionellen Anforderungen des Gelenks berücksichtigen. Der Eingriff erfolgt unter muskelschonenden Bedingungen, häufig unter Verwendung minimalinvasiver Techniken, um Weichteilverletzungen zu vermeiden und die postoperative Rehabilitation zu beschleunigen.
Durch intraoperative Bildgebung und computergestützte Navigation kann die exakte Positionierung der Prothese sichergestellt werden, ein entscheidender Faktor für langfristige Stabilität, natürliche Bewegungsabläufe und den dauerhaften Erfolg des Gelenkersatzes.
- Deutliche Schmerzlinderung bei stark geschädigten Gelenken
- Wiederherstellung von Mobilität und Belastbarkeit im Alltag
- Langfristige Stabilität durch langlebige, bewährte Materialien
- Individuelle Implantatauswahl passend zu Anatomie, Aktivitätsniveau und Lebensstil
- Erhalt der Selbstständigkeit und Verbesserung der Lebensqualität
Vorteile des Gelenkersatzes
Ein fachgerecht geplanter und durchgeführter Gelenkersatz kann bei geeigneter Indikation die Funktion des betroffenen Gelenks nahezu vollständig wiederherstellen und eine deutliche Steigerung der Lebensqualität ermöglichen.
Risiken und Einschränkungen
Risiken
Wie bei jeder Operation bestehen auch bei der Endoprothetik gewisse Risiken:
- Infektionen im Bereich des Implantats
- Lockerung oder Fehlstellung der Prothese
- Thrombose- oder Embolierisiko
- Vernarbungen oder Bewegungseinschränkungen
Durch sorgfältige Operationsplanung, präzise chirurgische Technik und strukturierte Nachsorge lassen sich diese Risiken deutlich minimieren. Eine ausführliche persönliche Aufklärung erfolgt durch Doz. Dr. Domayer vor jedem Eingriff.
Unter welchen Voraussetzungen wird ein Gelenkersatz durchgeführt?
Ein Gelenkersatz kommt in Betracht, wenn konservative Behandlungsansätze wie Physiotherapie, Infiltrationen oder medikamentöse Schmerztherapie keine ausreichende Linderung mehr erzielen, eine fortschreitende Arthrose oder ein schwerer Gelenkschaden vorliegt.
Welche Lebensdauer hat ein künstliches Gelenk?
Hüft- und Knieprothesen weisen heute eine Standzeit von durchschnittlich 15 bis 25 Jahren auf. Die Haltbarkeit hängt unter anderem von Implantatqualität, Operationsmethode und Belastungsprofil der Patientin bzw. des Patienten ab.
Welche nicht-operativen Alternativen bestehen?
In frühen Stadien können konservative Maßnahmen wie gezielte Physiotherapie, orthopädische Hilfsmittel, biologische Therapien (z. B. Stammzellentherapie, ACP) oder gelenkerhaltende Eingriffe den Zeitpunkt eines Gelenkersatzes hinauszögern.
Wie gestaltet sich die Rehabilitation nach dem Eingriff?
Die postoperative Rehabilitation folgt einem strukturierten Behandlungsplan mit physiotherapeutisch geführter Mobilisation, Muskelaufbau und Gangschulung, um die schrittweise Wiederherstellung der vollen Belastbarkeit zu erreichen.
Wie erfolgt die Auswahl der geeigneten Prothese?
Die Auswahl basiert auf individuellen Faktoren wie Gelenkstatus, anatomischen Gegebenheiten und Aktivitätsniveau. Im persönlichen Beratungsgespräch erörtert Dr. Domayer alle Optionen und empfiehlt die optimal geeignete Endoprothese.
Kosten der Behandlung
Kosten
Die Gesamtkosten eines Gelenkersatzes richten sich nach Art und Ausführung der Prothese, dem operativen Aufwand sowie dem stationären Versorgungsrahmen in der kooperierenden Klinik. Als Wahlarztordination erfolgt vorab eine transparente Kostenschätzung unter Berücksichtigung aller relevanten Parameter. In vielen Fällen übernehmen Kranken- oder Unfallversicherungen, bei gegebener medizinischer Indikation, einen erheblichen Anteil der Aufwendungen.
